Spécialisé en prothèse conjointe, notre laboratoire accompagne les praticiens dans la réalisation de restaurations prothétiques précises, esthétiques et durables allant de la couronne full zircone à la céramique esthétique.
Conception et planification numérique - approche prothétique sur dents naturelles

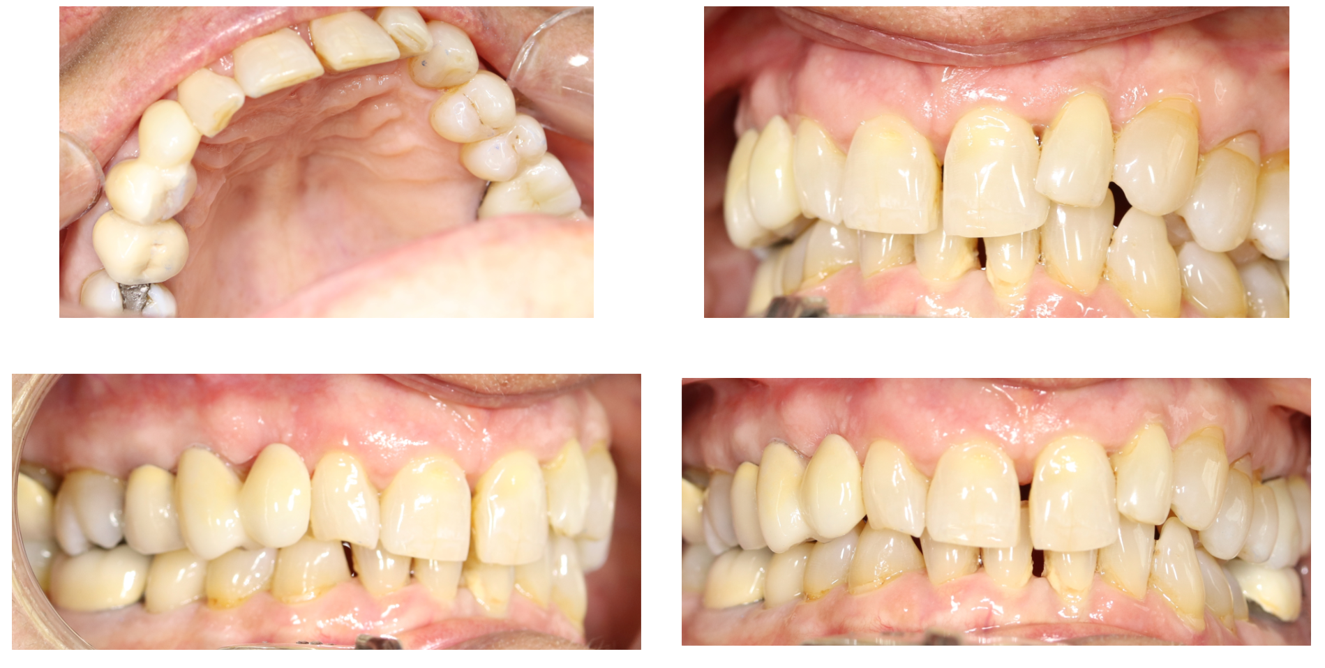
Couronnes Emax avec augmentation de DVCouronnes postérieures réalisées précédemment en chairside au Cerec

Solution conservatrice et esthétique
.png)

CFAO - Précision - Technologie
Fabrication locale
Écoute - Réactivité - Accompagnement